Smile Gallery
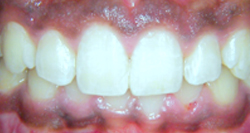
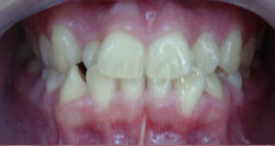
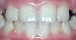
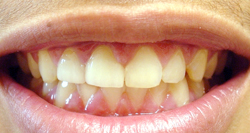
Want to see before and after pictures illustrating what our dental treatments can do for you? The following images below is our “smile gallery” with before and after photos of patients Dr. Justiniano has helped with enhancing their appearance and dental health.
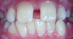
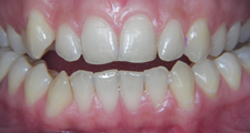
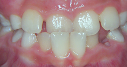
Before
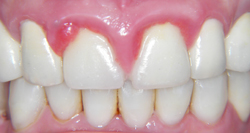
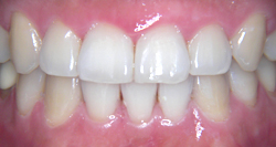
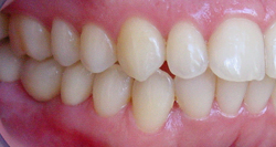
After
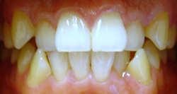
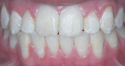
Before
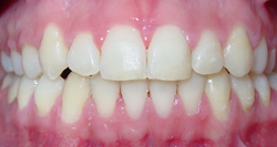
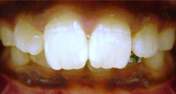
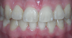
After
Before
After
Before
After
Before
After
Before
After
Before
After
Before
After
Before
After
Before
After
